Мовлення — найважливіша когнітивна функція, що відіграє комунікативну роль. Порушення мовлення, виражені у значному ступені, часто спричиняють професійну та соціально-побутову дезадаптацію навіть за відсутності розладів інших когнітивних функцій. Діагностика афазії — непросте завдання, оскільки пацієнти не скаржаться на труднощі з мовленням внаслідок зниження критики (Грішина Д., 2017). У 1861 р. французький невролог Поль Брока описав клінічні випадки двох пацієнтів, в яких у результаті пошкодження мозку була втрачена здатність розмовляти. Посмертна аутопсія продемонструвала, що в обох випадках була уражена задня частина нижньої лобової звивини. Цю зону назвали зоною Брока на честь вченого, а відповідний тип афазії — афазією Брока. Наступна основоположна робота з’явилась у 1874 р. і належала німецькому лікарю Карлу Верніке. Декілька його пацієнток говорили швидко, але не складно, при цьому вони погано розуміли мову інших людей. К. Верніке показав, що в них була уражена задня частина верхньої скроневої звивини (Малютіна С., 2017).
Синдром первинної прогресуючої афазії (ППА) — це комплекс ізольованих прогресуючих порушень мовлення. Відповідно до загальноприйнятих діагностичних критеріїв виділяють такі форми ППА: аграматичну (ППА зі зниженням швидкості мовлення), семантичну (ППА без зниження швидкості мовлення), логопенічну та комбіновану із сукупністю ознак семантичної та аграматичної форм ППА. Відомо, що жодна з форм не демонструє виборчих порушень, пов’язаних зі шляхом сприйняття певних стимулів (візуальних або слухових) чи способом відповіді (в усній або письмовій формах). Зазвичай ППА становить один з нечастих варіантів дебюту нейродегенеративних захворювань: лобово-скроневої часткової дегенерації, кортико-базальної дегенерації тощо. Вибірковість порушень мовлення найчастіше трапляється при синдромах афазії, включаючи ППА. Наприклад, пацієнти з аграматичною формою ППА відчувають більші складнощі із вимовлянням дієслів, ніж іменників. Пацієнти з логопенічною формою ППА роблять пролонговані паузи у своїй розмові, підбираючи частіше іменники, ніж інші частини мови. Для семантичної форми ППА характерне виникнення труднощів із розумінням слів, які частіше позначають живі об’єкти, ніж неживі. Пошук літератури виявив тільки три випадки ППА з ознаками глухоти, за яких сприйняття слів (але не розпізнавання об’єкту) було вибірково порушене у слуховій, а не у візуальній формі. Марік Месулам, провідний автор статті з Центру когнітивної неврології та хвороби Альцгеймера при Північно-Західному університеті, Чикаго, провів всебічний аналіз клінічних випадків ППА.
Клінічний випадок 1
З анамнезу хвороби 60-річної пацієнтки стало відомо, що вона зіткнулася із прогресуючими труднощами у підборі слів, уловленням суті та коректного і чіткого формулювання своїх думок протягом трьох років. Проте вона продовжувала вести рутинні домашні справи, керувала автомобілем та робила покупки. Оцінка когнітивних здібностей продемонструвала, що збереження пам’яті щодо нещодавніх подій, впізнавання знайомих облич, візуально-просторові навички були збережені. Детальніша оцінка показала, що функції мовлення і писемності були аграматичні за відсутності порушення у розумінні слів, що свідчило про комбіновану форму ППА. Її мовлення не було утрудненим або дизартричним, але злегка апраксичним при вимовлянні багатоскладних слів. Згідно з результатами Бостонського тесту (Boston naming test), у пацієнтки була діагностована афазія. Дивною була її здатність написання слів, які вона не могла вимовити. Нижче наведені результати додаткових тестувань для кількісної оцінки селективності афазії у розрізі слухової модальності (таблиця).
Таблиця. Результати тестувань для клінічного випадку 1
| Показник | |
|---|---|
| Мовна аудиометрія | 47% |
| Тест на розпізнавання об’єктів | 90% |
| Бостонський тест (BNT) | 15% |
| Західний афазіологічний тест (WAB-R) | 13% |
| Зіставлення 32 почутих звуків із відповідним малюнком | 100% |
| Зіставлення іменників із відповідним малюнком | 50% |
| Час, необхідний для правильної відповіді | 6291±771 мс |
| Візуальне сприйняття іменників і зіставлення їх із відповідними малюнками |
92% |
| Час, необхідний для правильної відповіді | 4130±394 мс |
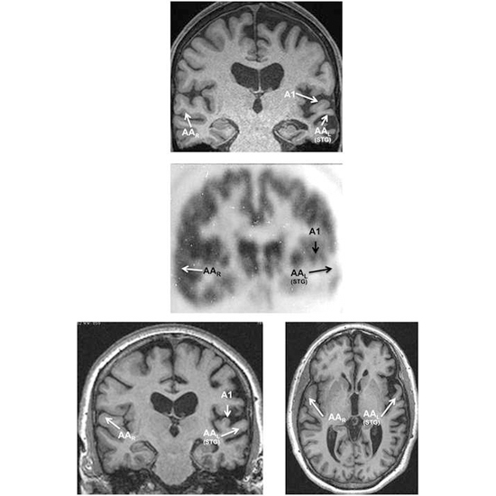
Під час проведення магнітно-резонансної томографії головного мозку пацієнтки виявлена значна асиметрична атрофія у лівій півкулі, що охоплювала нижню лобову звивину, нижню тім’яну ділянку, а також всі ділянки лівої скроневої частки, включаючи верхню скроневу звивину і передню скроневу частку. Звивина Гешля виявилася відносно збереженою, тоді як слухова асоціативна кора головного мозку — атрофованою.
Результати генотипування довели наявність мутації у гені GRN. У ході збору анамнезу пацієнтка назвала рідну сестру, яка теж мала прогресуюче порушення у підборі слів.
Клінічний випадок 2
55-річний чоловік зазначав, що протягом останніх трьох років мав труднощі із підбором слів. У його мовленні було багато пауз та «ухильного» стилю. Подібний «ухильний» стиль мовлення утруднював оцінку його граматичної структури. Моторні порушення мовлення були відсутні. Розуміння речень, заснованих на знайомих йому словах, зберігалося у слуховій та візуальній модальностях, за винятком тих, що були синтаксично складними. Клінічна картина відповідала логопенічній формі ППА. Результат тестування BNT становив 23% для усних відповідей та 43% — для письмових. Коли пацієнтові були представлені геометричні фігури, він не зміг в усній формі назвати куб, трикутник та прямокутник, а також не зміг правильно ідентифікувати ту чи іншу фігуру, почувши відповідне до неї слово, що свідчило про порушення слухового сприйняття іменників. Проте він міг правильно написати назви фігур, демонструючи, що наявність проблем із пошуком та сприйняттям слів були вибірковими саме для слухової модальності. Результати магнітно-резонансної томографії (МРТ) продемонстрували асиметричну атрофію лівої нижньої тім’яної частки. Позитронно-емісійна терапія продемонструвала відносно збережений метаболізм у звивині Гешля, але тяжкий гіпометаболізм у слуховій асоціативній корі. Сімейний анамнез свідчив, що у його матері була діагностована «деменція» у віці 50 років. Посмертна аутопсія довела наявність ППА із лобово-скроневою частковою дегенерацією типу А.
Клінічний випадок 3
55-річна пацієнтка помітила розвиток прогресуючих труднощів із підбором слів для висловлювання їх як в усній, так і в письмовій формах. Повсякденне життя та інші поведінкові реакції були відносно збережені. Мовлення було значно порушене (9 слів/хв), утруднене, переривчасте та аграматичне. Повторювання фраз та речень було порушене. У неї не відзначався слуховий або візуальний дефіцит у розумінні слів. Пацієнтці встановлено діагноз аграматичної форми ППА. Результат тестування BNT становив лише 27%. МРТ продемонструвала асиметричну атрофію із відносно збереженою звивиною Гешля. Однак гени GRN, TDP-43 і C9orf72 не мали мутацій, які спричиняють захворювання.
Клінічний випадок 4
68-річна пацієнтка звернулася зі скаргами на труднощі із пошуком та вимовлянням слів. Через два роки в ході обстеження в неї виявили мовлення із парафазіями і утрудненням вимовляння багатоскладних слів. Писемність була швидкою, але аграматичною. Слухове сприйняття не було порушене. На основі цього встановлено діагноз аграматичної форми ППА. Результати тестування BNT становили 88% для письмової форми, однак жодної правильної відповіді в усній формі.
- Mesulam M., Nelson M., Hyun J. et al. (2019) Preferential Disruption of Auditory Word Representations in Primary Progressive Aphasia With the Neuropathology of FTLD-TDP Type A. Cogn Behav Neurol., 32(1): 46–53. https://www.ncbi.nlm.nih.gov/pmc/articles/PMC6430124/
Катерина Приходько-Дибська
