27 травня — Міжнародний день боротьби з розсіяним склерозом. Це захворювання вперше описав французький лікар Жан Крювелье у 1835 р.
Мета цього дня — привернути увагу до проблеми розсіяного склерозу на міжнародному рівні, допомогти людям, які живуть із хворобою, а також об’єднати зусилля національних і міжнародних організацій у боротьбі з розсіяним склерозом.
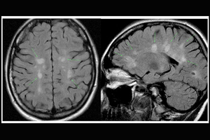
Про розсіяний склероз
Розсіяний склероз — це хронічне захворювання центральної нервової системи, яке постійно прогресує. Клінічно проявляється неврологічною симптоматикою: розладами зору, патологією рухової активності, порушенням функції тазових органів. Точні причини виникнення розсіяного склерозу невідомі.
У світі кількість людей, які хворіють на розсіяний склероз, перевищує 2 млн. Серед хворих переважають жінки віком 20–35 років (близько 80%) і чоловіки віком 35–45 років. Середній вік початку захворювання — 29–33 роки.
Кількість нових випадків розсіяного склерозу збільшується в середньому з 2,2 до 3,4 на 100 тис. населення на рік. У деяких країнах Північної Європи — до 5–8 нових випадків на 100 тис. населення протягом року.
Згідно із даними ВООЗ, за 10 років від початку захворювання 30–37% хворих здатні пересуватися лише з допомогою близьких. 50% мають труднощі під час виконання професійних обов’язків. Понад 80% змушені змінити роботу. За 15 років лише 50% хворих зберігають здатність працювати, дбати про себе та вільно пересуватися без сторонньої допомоги.
Симптоми розсіяного склерозу
Симптоми розсіяного склерозу часто залишаються непоміченими на перших стадіях. Тому обов’язково зверніться до лікаря, якщо виявили такі ранні ознаки розсіяного склерозу:
- погіршення або втрата зору в одному оці, що супроводжується болем під час руху очного яблука;
- подвоєння в очах;
- прогресуючі порушення чутливості та/або слабкість кінцівок;
- проблеми з рівновагою, нестійкість або незграбність;
- неприємні відчуття поколювання у спині у напряму зверху вниз, іноді з переходом на кінцівки або під час нахилу голови вперед (симптом Лермітта).
Лікування зазвичай спрямоване на зміну перебігу хвороби та зменшення вираженості симптомів. Проте вчасно розпочате лікування розсіяного склерозу може запобігти загостренням, полегшити симптоми та сповільнити прогресування хвороби.
Долучайтеся до нас у Viber-спільноті, Telegram-каналі, Instagram, на сторінці Facebook, а також Twitter, щоб першими отримувати найсвіжіші та найактуальніші новини зі світу медицини.
Пресслужба «Українського медичного часопису»
за матеріалами phc.gov.ua
