Основні рекомендації під час ожеледиці
- Не поспішайте. Йдіть маленькими кроками.
- Будьте уважними на дорозі, адже гальмівний шлях скорочується за поганих погодних умов.
- Відкладіть чоботи на високих підборах, краще виберіть зручне взуття з рельєфною підошвою.
- Вдягніть зимові накладки на взуття, якщо на вулиці ожеледиця.
- Краще присядьте, якщо втрачаєте рівновагу. Це допоможе її втримати.
- Не тримайте руки у кишенях.
- Будьте обачними й обережними, якщо температура повітря різко падає нижче нуля.
Види травм та допомога
Забій
Забій (забиття) — це травма шкірного покриву без його цілісності. Її можна отримати при падінні, ударі тупим предметом. Травмоване місце стає набряклим. На ньому з’являється синець. Через розрив великих судин під шкірою накопичується кров (гематоми).
Забої можуть порушувати функції пошкодженого органа. Забій м’яких тканин викликає лише біль і помірне обмеження руху кінцівок, натомість забої внутрішніх органів можуть стати навіть причиною смерті.
При забої потрібно забезпечити пошкодженій ділянці тіла спокій. Щоб припинити крововилив у м’які тканини, потрібно накласти тугу пов’язку та підняти уражену ділянку тіла. Для того щоб зменшити вираженість болю та запальні явища, прикладіть до травмованого місця щось холодне. Дезінфікуйте забій, якщо на ньому є подряпини. При серйозних забоях внутрішніх органів одразу звертайтеся до лікаря.
Розтягнення
Вони можуть виникати внаслідок рухів у невластивому для суглоба напрямку і рухів у суглобі, що перевищують його фізіологічний об’єм. Для розтягнень характерна поява різкого місцевого болю. При цьому значно порушуються функції суглобів.
Перша допомога при розтягненнях:
- «I» (ice — лід) — прикладіть лід до місця травми. Це зменшить вираженість болю і набряк.
- «С» (compression — тиск) — використайте тугу пов’язку на ушкоджений суглоб. Проте пам’ятайте, що вона не повинна порушувати звичайного кровообігу і чутливості шкіри ушкодженої кінцівки.
- «Е» (elevation — підняття) — тримайте травмовану кінцівку вище рівня серця, це допоможе зменшити приплив крові, що дозволить зменшити набряки.
- Якщо постраждалий відчуває надмірний біль або травмоване місце дуже набрякло, потрібно звернутися за кваліфікованою допомогою.
Вивих
Це зсув суглобових кінців кісток. Він може супроводжуватися розривом суглобової капсули.
Найчастіше вивихи бувають у плечовому суглобі, у суглобах нижньої щелепи та пальців рук.
Ознаки вивиху:
- біль у кінцівці;
- деформація ділянки суглоба;
- відсутність активних і неможливість пасивних рухів у суглобі;
- кінцівка зафіксована у неприродному положенні;
- зміна довжини кінцівки.
Перша допомога при вивиху повинна зменшити вираженість болю, тому прикладіть щось холодне до пошкодженого суглоба та випийте знеболювальне. Зафіксуйте пошкоджену кінцівку в тому положенні, якого вона набула вже після травмування. Якщо постраждала нижня кінцівка, потрібно знерухомити її за допомогою шин або підручних засобів. Якщо постраждала верхня — підвісити її на косинці.
Ні в якому разі не вправляйте вивихнути кінцівку. Це може зробити лише людина з медичною освітою.
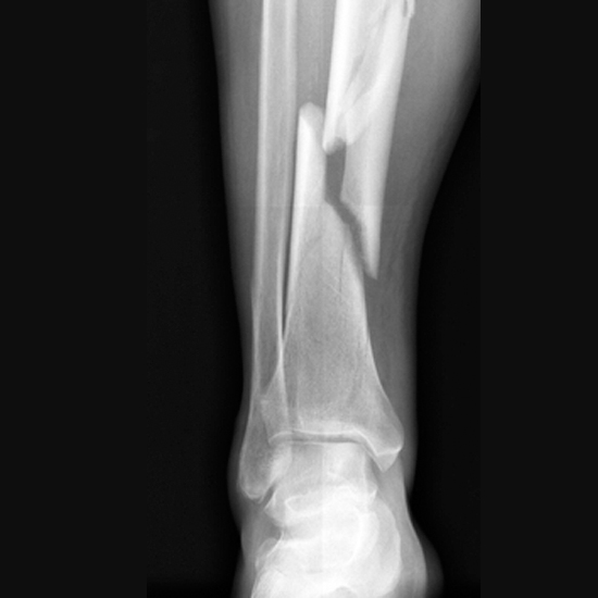
Перелом
Він буває відкритим і закритим. Для відкритого перелому характерні біль, наявність рани у місці перелому та кровотеча, неприродне положення кінцівки, хрускіт у місці перелому та уламки кістки в рані.
Закритий перелом має ті ж симптоми, проте відсутня рана. На місці перелому утворюється гематома, кінцівка збільшується в об’ємі.
Перша допомога постраждалим з переломом:
- Спочатку переконайтеся, що навколо безпечно.
- Огляньте постраждалого. Оцініть чи потерпілий при свідомості та частоту його дихання.
- Викличте екстрену медичну допомогу за номером 103.
- Почніть серцево-легеневу реанімацію, якщо постраждалий не дихає.
- Якщо ви побачили у потерпілого ознаки відкритого перелому, надайте першу допомогу у такому порядку:
При закритому переломі повторіть те ж саме, починаючи з пункту 3. До прибуття екстреної медичної допомоги постійно наглядайте за травмованою людиною. Якщо стан постраждалого до приїзду швидкої почав погіршуватися, зателефонуйте диспетчеру повторно.
Читайте також:
Меніски колінних суглобів: хірургічне лікування ушкоджень
Долучайтеся до нас у Viber-спільноті, Telegram-каналі, Instagram, на сторінці Facebook, а також Twitter, щоб першими отримувати найсвіжіші та найактуальніші новини зі світу медицини.
Пресслужба «Українського медичного часопису»
за матеріалами moz.gov.ua
